Phẫu thuật thành công cho bệnh nhân bị chấn thương sọ não, tụ máu ngoài màng cứng tại Trung tâm Y tế thành phố Móng Cái
Vào hồi 20h ngày 30/06/2022, Trung tâm y tế thành phố Móng Cái tiếp nhận trường hợp bệnh nhân là cháu N.V.G.B 8 tuổi (Hải Đông- Móng Cái). Trước khi vào viện, bệnh nhân đi xe đạp bị ngã xuống nền cứng, buồn nôn, nôn. Ngay sau khi tiếp nhận, thăm khám, chụp cắt lớp vi tính phát hiện hình ảnh tụ máu ngoài màng cứng, tình trạng tri giác giảm. Kíp trực đã báo cáo lãnh đạo, hội chẩn với bác sĩ chuyên khoa Bệnh viện đa khoa tỉnh, xác định bệnh nhân cần được mổ cấp cứu. Bệnh nhân khẩn trương được hoàn tất các xét nghiệm cận lâm sàng và được chỉ định mổ cấp cứu tại Trung tâm Y tế thành phố Móng Cái ngay trong đêm.
Vào hồi 20h ngày 30/06/2022, Trung tâm y tế thành phố Móng Cái tiếp nhận trường hợp bệnh nhân là cháu N.V.G.B 8 tuổi (Hải Đông- Móng Cái). Trước khi vào viện, bệnh nhân đi xe đạp bị ngã xuống nền cứng, buồn nôn, nôn. Ngay sau khi tiếp nhận, thăm khám, chụp cắt lớp vi tính phát hiện hình ảnh tụ máu ngoài màng cứng, tình trạng tri giác giảm. Kíp trực đã báo cáo lãnh đạo, hội chẩn với bác sĩ chuyên khoa Bệnh viện đa khoa tỉnh, xác định bệnh nhân cần được mổ cấp cứu. Bệnh nhân khẩn trương được hoàn tất các xét nghiệm cận lâm sàng và được chỉ định mổ cấp cứu tại Trung tâm Y tế thành phố Móng Cái ngay trong đêm.


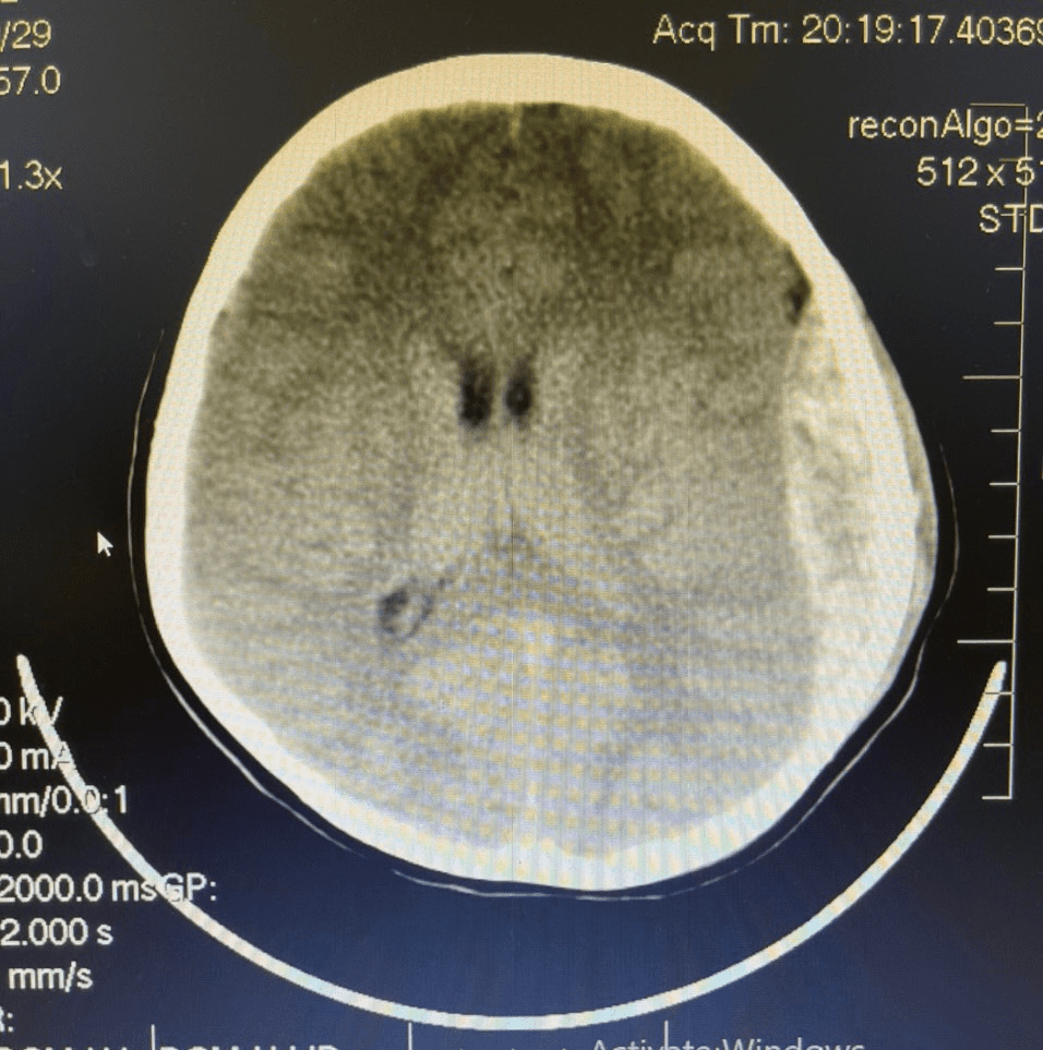
Hình ảnh chụp cắt lớp vi tính của bệnh trước và sau khi mổ chấn thương sọ não
E kíp mổ có sự tham gia của các bác sĩ khoa Ngoại, Hồi sức cấp cứu Trung tâm Y tế thành phố Móng Cái với sự hỗ trợ trực tiếp của bác sĩ Bs.CKI Nguyễn Tiến Dũng, Trưởng khoa phẫu thuật thần kinh và cột sống Bệnh viện đa khoa tỉnh Quảng Ninh. Trong quá trình mổ các bác sĩ đã tiến hành phẫu thuật mở hộp sọ, cầm máu và lấy hết máu tụ giải tỏa chèn ép não cho bệnh nhân.


Ekip phẫu thuật chấn thương sọ não tại Trung tâm Y tế thành phố Móng Cái
Sau phẫu thuật 5 ngày, sức khỏe của bệnh nhân ổn định, ăn uống tốt, đã đi lại vận động nhẹ nhàng. Hiện tại bệnh nhân tiếp tục được các Bác sĩ Trung tâm Y tế thành phố Móng Cái theo dõi và điều trị hậu phẫu, có thể xuất viện trong vài ngày tới.
Đây là ca mổ sọ não đầu tiên được thực hiện ngay tại Trung tâm Y tế thành phố Móng Cái với sự hỗ trợ, chuyển giao trực tiếp của bác sĩ khoa phẫu thuật thần kinh và cột sống Bệnh viện đa khoa tỉnh Quảng Ninh, không chỉ giúp cho bệnh nhân có cơ hội được phẫu thuật trong giờ vàng vì không phải mất thời gian di chuyển tuyến trên với quãng đường dài, mà còn là cơ hội cho bác sĩ chuyên khoa Ngoại, Hồi sức cấp cứu của Trung tâm y tế thành phố Móng Cái nhanh chóng tiếp cận và làm chủ kỹ thuật mới, kỹ thuật cao từ bệnh viện tuyến trên.


Bác sĩ tại Trung tâm Y tế thành phố Móng Cái theo dõi, chăm sóc, điều trị hậu phẫu, hiện sức khỏe cháu bé ổn định, phục hồi tốt, có thể xuất viện trong vài ngày tới
Hiện nay, với sự hỗ trợ của Bệnh viện, chuyên gia tuyến tỉnh cùng với sự quyết tâm của Ban giám đốc và đội ngũ y bác sĩ Trung tâm Y tế thành phố Móng Cái, tiếp tục triển khai nhiều kỹ thuật mới, kỹ thuật cao chuyên ngành ngoại khoa: mổ chấn thương sọ não, điều trị khối u đường tiêu hóa, u tuyến giáp, phẫu thuật nội soi thoát vị bẹn ở trẻ em, phẫu thuật nội soi cắt u xơ tử cung.... tạo điều kiện và cơ hội tiếp cận dịch vụ y tế chất lượng cao cho người dân ngay tại Trung tâm y tế thành phố Móng Cái.


