PHẪU THUẬT THÀNH CÔNG U GIST DẠ DÀY TẠI TRUNG TÂM Y TẾ THÀNH PHỐ MÓNG CÁI
Mới đây, tại Trung tâm Y tế thành phố Móng Cái đã phẫu thuật thành công trường hợp U GIST dạ dày kích thước lớn cho người bệnh. U GIST đường tiêu hóa nếu không phát hiện sớm và phẫu thuật kịp thời có thể gây biến chứng nguy hiểm.
Mới đây, tại Trung tâm Y tế thành phố Móng Cái đã phẫu thuật thành công trường hợp U GIST dạ dày kích thước lớn cho người bệnh. U GIST đường tiêu hóa nếu không phát hiện sớm và phẫu thuật kịp thời có thể gây biến chứng nguy hiểm.
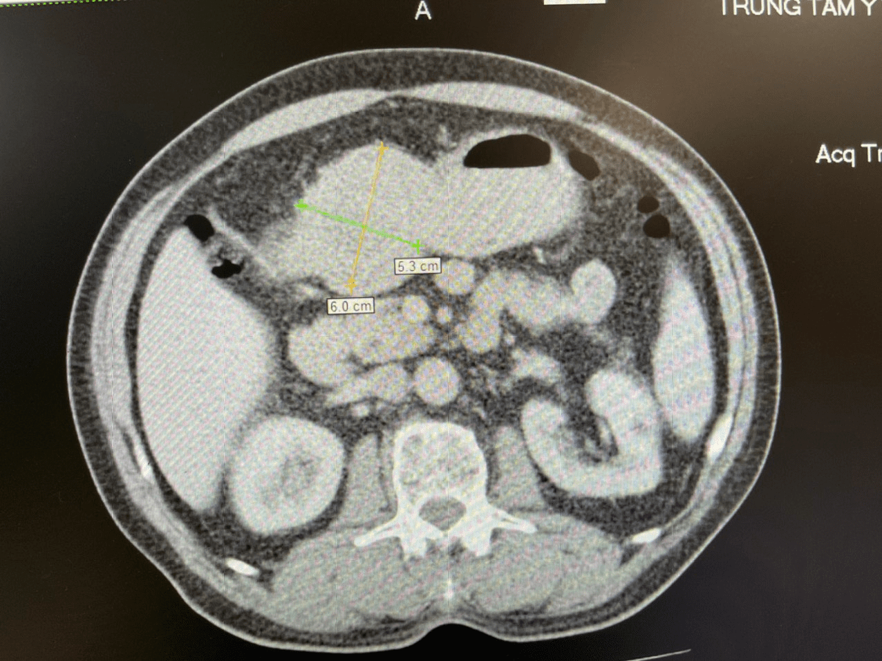
Bệnh nhân Tạ V.S (nam, 71 tuổi), có tiền sử hẹp mạch vành cách đây 8 năm, nhiễm Covid-19 cách đây 3 tháng, một tuần trước khi vào viện bệnh nhân xuất hiện đau bụng thượng vị, đầy hơi, đau tức ngực trái. Khám tại Trung tâm Y tế thành phố Móng Cái, qua kết quả nội soi, siêu âm và chụp cắt lớp vi tính ổ bụng của bệnh nhân phát hiện khối bất thường kích thước 6cm - 5.3cm trong dạ dày. Các bác sĩ đã hội chẩn và chẩn đoán U GIST dạ dày. Bệnh nhân được chỉ định phẫu thuật mổ cắt U GIST.

Khối U trong dạ dày qua hình ảnh nội soi

Khối U trong dạ dày qua hình ảnh chụp cắt lớp vi tính
Ekip phẫu thuật, Bác sĩ CKII. Nguyễn Quốc Hùng – Nguyên Giám đốc Bệnh viện Sản Nhi Quảng Ninh (hiện đang trực tiếp cố vấn, hỗ trợ, đào tạo chuyên môn tại Trung tâm Y tế thành phố Móng Cái) cùng y bác sĩ Khoa Ngoại, hồi sức cấp cứu của Trung tâm Y tế thành phố Móng Cái đã tiến hành mở ổ bụng, cắt khối U và 2/3 dạ dày. Sau phẫu thuật, sức khỏe bệnh nhân ổn định, không đau bụng, vết mổ khô, ăn uống lưu thông tốt, sức khỏe hồi phục nhanh sau mổ và đã đủ điều kiện xuất viện.

Ekip Bác sĩ CKII. Nguyễn Quốc Hùng, cùng y bác sĩ Khoa Ngoại, hồi sức cấp cứu của Trung tâm Y tế thành phố Móng Cái phẫu thuật cho bệnh nhân

Khối U GIST dạ dày được phẫu thuật thành công tại Trung tâm Y tế thành phố Móng Cái
U GIST hầu hết không có triệu chứng với các u nhỏ, bệnh nhân thường phát hiện bệnh ngẫu nhiên khi thăm khám hoặc phẫu thuật các bệnh khác. U GIST kích thước lớn có thể gây ra các triệu chứng như đầy bụng, đau bụng thượng vị, sờ thấy u bụng, xuất huyết tiêu hóa ... U GIST phát triển ác tính có thể xâm lấn di căn trong ổ bụng,... đe dọa đến tính mạng của người bệnh. Vì vậy, khuyến cáo người dân nên thường xuyên thăm khám sức khỏe định kỳ để kịp thời phát hiện, điều trị sớm những khối u, ung thư bất thường của đường tiêu hóa.

Sức khỏe bệnh nhân phục hồi tốt sau phẫu thuật
Hiện nay, với sự hỗ trợ trực tiếp của thầy thuốc nhân dân, Bác sĩ CKII Nguyễn Quốc Hùng, cùng đội ngũ bác sĩ chuyên khoa của Trung tâm Y tế thành phố Móng Cái được đào tạo bài bản, kết hợp trang bị chẩn đoán, phòng mổ hiện đại, Trung tâm Y tế thành phố Móng Cái đang từng bước triển khai nhiều ca phẫu thuật cao điều trị khối u đường tiêu hóa, u tuyến giáp, phẫu thuật nội soi thoát vị bẹn ở trẻ em, phẫu thuật nội soi cắt u xơ tử cung.... Nhờ đó người bệnh tại thành phố Móng Cái được điều trị hiệu quả bệnh bằng các kĩ thuật cao ngay tại địa phương, cải thiện sức khỏe và nâng cao chất lượng cuộc sống.
Người dân có nhu cầu khám, chữa bệnh với thầy thuốc nhân dân Bs.CKII Nguyễn Quốc Hùng hoặc cần tư vấn dịch vụ khám chữa bệnh tại Trung tâm y tế thành phố Móng Cái, hãy liên hệ với bộ phận chăm sóc khách hàng, qua số điện thoại: 0886.358.911


