Phẫu thuật điều trị thành công bệnh nhân sốc đa chấn thương do tai nạn giao thông
Đêm ngày 29/10/2023, Trung tâm y tế thành phố Móng Cái tiếp nhận bệnh nhân Hoàng V. T (28 tuổi, trú tại Bình Lộc – Lạng Sơn) bị tai nạn giao thông, nhập viện trong tình trạng sốc mất máu do đa chấn thương - Gãy hở độ 3, 1/3 trên xương đùi trái, chấn thương vỡ khung chậu, chấn thương bụng kín- vỡ ruột non.
Đêm ngày 29/10/2023, Trung tâm y tế thành phố Móng Cái tiếp nhận bệnh nhân Hoàng V. T (28 tuổi, trú tại Bình Lộc – Lạng Sơn) bị tai nạn giao thông, nhập viện trong tình trạng sốc mất máu do đa chấn thương - Gãy hở độ 3, 1/3 trên xương đùi trái, chấn thương vỡ khung chậu, chấn thương bụng kín- vỡ ruột non.

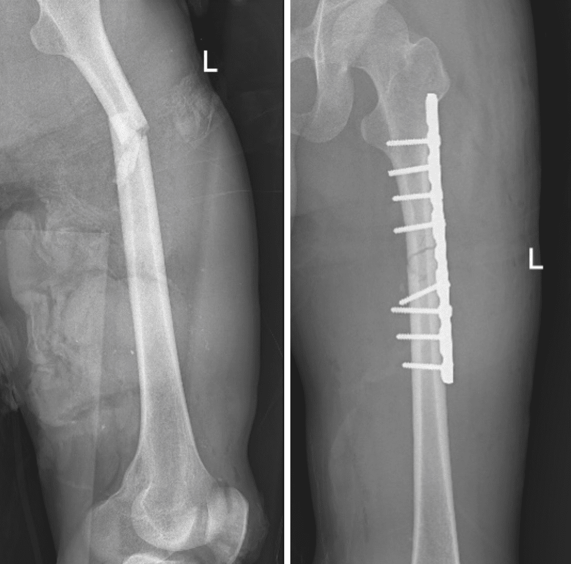
Hình ảnh chụp X-Quang trước và sau khi phẫu thuật
Bệnh nhân nhanh chóng được sơ cấp cứu, hồi sức tích cực, dự phòng chống sốc, nẹp cố định đùi trái. Kết quả xét nghiệm cận lâm sàng, chụp CT, bệnh nhân bị gãy hở độ 3, 1/3 trên xương đùi trái, gãy xương bàn ngón 4 bàn tay trái, vỡ xương bả vai trái, gãy ngành ngồi mu 2 bên, ổ bụng hình ảnh khí và dịch tự do.
Kíp trực đã cấp cứu xử trí tổn thương, khẩn trương chuyển bệnh nhân lên phòng mổ.
Ekip phẫu thuật bác sĩ chuyên khoa Ngoại, Gây mê – hồi sức đã tiến hành phẫu thuật kết hợp xương đùi trái bằng nẹp vít, mở ổ bụng khâu lỗ thủng ruột non. Bệnh nhân được hồi sức tích cực, truyền máu, chống sốc trong suốt quá trình phẫu thuật.
Hiện nay, bệnh nhân đã ổn định và xuất viện.
Đây là một trong những ca đa chấn thương phức tạp đã được bác sỹ Trung tâm Y tế thành phố Móng Cái phẫu thuật thành công cứu sống bệnh nhân.

Hình ảnh bệnh nhân sau phẫu thuật


