Phẫu thuật kịp thời cứu sống bệnh nhân có khối máu tụ trong não
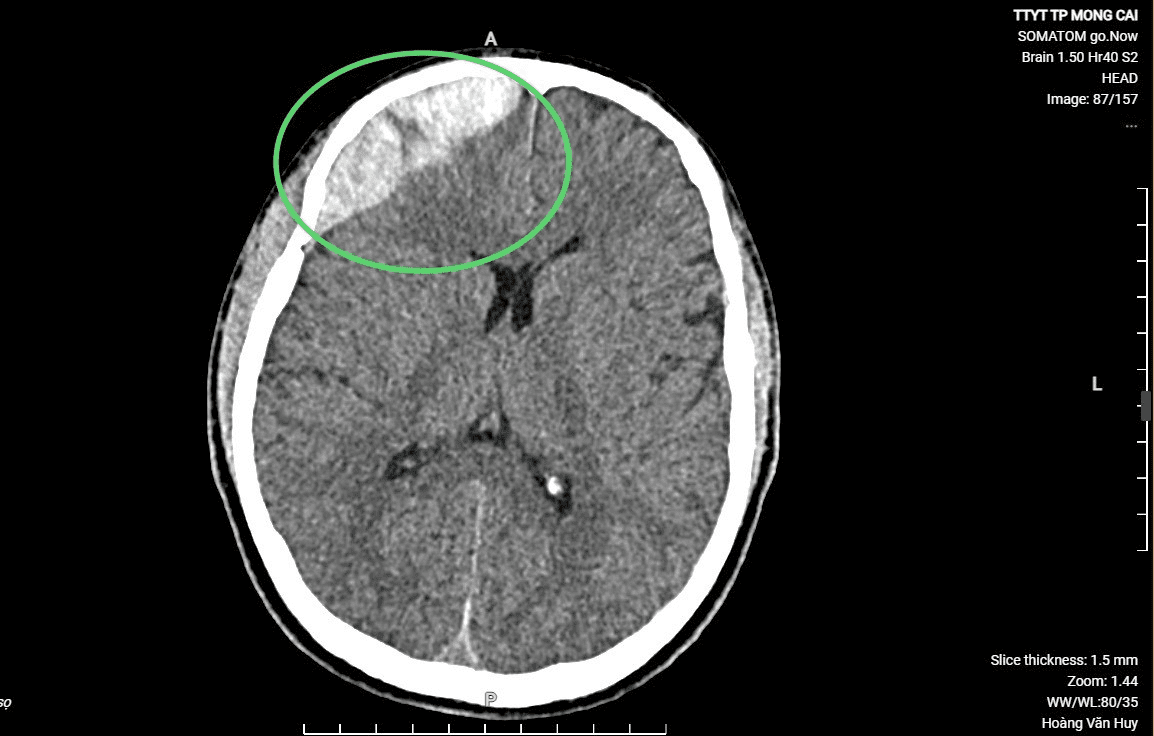
Vừa qua, Trung tâm y tế thành phố Móng Cái tiếp nhận bệnh nhân nam 37 tuổi bị đột quỵ, kèm theo chấn thương, được chuyển vào trung tâm khám và chẩn đoán, hội chẩn cùng các chuyên khoa hồi sức, chẩn đoán hình ảnh, hội chẩn trực tuyến với tuyến trên.
Vừa qua, Trung tâm y tế thành phố Móng Cái tiếp nhận bệnh nhân nam 37 tuổi bị đột quỵ, kèm theo chấn thương, được chuyển vào trung tâm khám và chẩn đoán, hội chẩn cùng các chuyên khoa hồi sức, chẩn đoán hình ảnh, hội chẩn trực tuyến với tuyến trên.


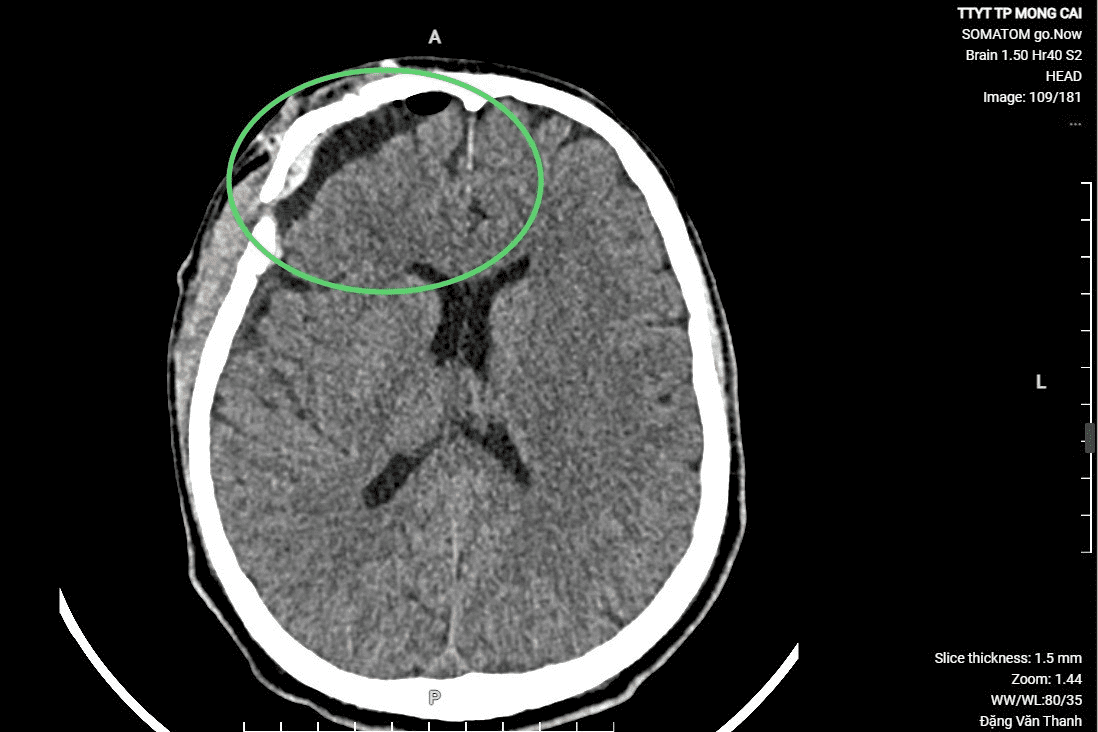
Hình ảnh chụp CT trước và sau khi phẫu thuật

Bệnh nhân nhanh chóng bình phục sau phẫu thuật
Bệnh nhân được tiến hành phẫu thuật mở hộp sọ, lấy máu tụ trong não, cầm máu, sau hai ngày phẫu thuận, bệnh nhân tỉnh, không liệt, đã ngồi dậy bắt đầu tập phục hồi chức năng. Sau 7 ngày, bệnh nhân đã hoàn toàn tỉnh táo, bình phục gần như hoàn toàn.
Trung tâm y tế thành phố Móng Cái, với sự hỗ trợ, chuyển giao của tuyến trên, không ngừng đổi mới, nâng cao chất lượng khám, chữa bệnh, từng ngày tiếp nhận phân loại bệnh nhân đến khám bệnh, xử trí kịp thời những ca bệnh phức tạp, tranh thủ được giờ vàng cứu sống người bệnh, giúp người bệnh phục hồi nhanh và hạn chế tối đa các biến chứng, góp phần nâng cao chất lượng chăm sóc và bảo vệ sức khoẻ cho người dân sinh sống, làm việc, du lịch, học tập trên địa bàn.


