9 BỘ PHẬN CƠ THỂ BỊ HỦY HOẠI BỞI THUỐC LÁ
9 BỘ PHẬN CƠ THỂ BỊ HỦY HOẠI BỞI THUỐC LÁ
Thuốc lá là nguyên nhân hàng đầu gây nhiều loại bệnh tật cho cơ thể, trong đó có bệnh ung thư. Bên cạnh trực tiếp gây các căn bệnh nguy hiểm, khói thuốc còn ảnh hưởng trực tiếp và lâu dài tới nhiều cơ quan trong cơ thể, gây ra bệnh tật cho con người.
Theo Tổ chức Y tế thế giới (WHO), mỗi năm số người tử vong vì thuốc lá lên tới 6 triệu người, trong đó hơn 5 triệu trường hợp là do sử dụng thuốc lá trực tiếp và khoảng 600.000 người tử vong do tác hại của hút thuốc thụ động. 80% trong số hơn 1 tỷ người hút thuốc trên toàn thế giới sống ở các nước có thu nhập thấp và trung bình, nơi gánh nặng bệnh tật và tử vong liên quan đến thuốc lá là rất lớn.
Ở Việt Nam có hơn 15 triệu người hút thuốc, trung bình cứ 2 nam giới có một người hút thuốc, 95% người hút thuốc có thói quen hút thuốc trong nhà, 2/3 phụ nữ và 1/2 trẻ em Việt Nam thường xuyên hít phải khói thuốc lá - hay còn gọi là hút thuốc thụ động. Khói thuốc thụ động làm tăng 25-30% nguy cơ bệnh tim mạch; tăng 20-30% nguy cơ tai biến mạch máu não; 25-30% nguy cơ bệnh ung thư phổi cho những người không hút thuốc,...
Theo thống kê, 80% bệnh nhân ung thư phổi có tiền sử hút thuốc. Trong khói thuốc lá có tới 7000 chất nguy hại, 69 chất trực tiếp gây nên các loại bệnh ung thư như ung thư phổi, ung thư vòm họng, miệng, bàng quang, buồng trứng, bệnh mạch vành, xơ vữa động mạch, tiểu đường, phổi tắc nghẽn mãn tính... Bên cạnh trực tiếp gây các căn bệnh nguy hiểm, khói thuốc còn ảnh hưởng trực tiếp và lâu dài tới nhiều cơ quan trong cơ thể, gây ra bệnh tật cho con người. Có thể kể tới một số cơ quan sẽ bị ảnh hưởng do khói thuốc:
Đau khớp
Rất nhiều người cho rằng xương khớp không liên quan tới hút thuốc. Nhưng điều này hoàn toàn sai lầm bởi chính làm lượng nicotin trong thuốc lá làm giảm quá trình tái tạo xương, gây mất xương và loãng xương. Những người hút thuốc lâu năm thường có nguy cơ cao mắc bệnh viêm khớp dạng thấp (RA). Điều nguy hiểm là các thuốc chống viêm khớp dạng thấp lại không có hiệu quả đối với người đang người hút thuốc. Hiện các nhà khoa học vẫn chưa giải thích được lý do tại sao nhưng những tác động qua lại giữa các bệnh xương khớp và người hút thuốc đã rất rõ ràng.
Ảnh hưởng tới da
Hút thuốc lá làm đẩy nhanh quá trình lão hóa tự nhiên của làn da. Nó có thể làm cho da của một người 40 tuổi giống như một người 70 tuổi không hút thuốc. Nicotin trong thuốc lá ảnh hưởng đến mô liên kết, làm da mất đi tính đàn hồi, ngăn cản sự cung cấp máu khiến da bị sạm đi. Điều quan trọng là những tổn thương ở da không thể đảo ngược, thậm chí còn có thể gây hậu quả xấu như làm các bệnh ngoài da nặng thêm trong đó có cả bệnh ung thư biểu mô.
Mắt
Nếu bỗng dưng bạn nhìn mờ, lóa, hay chảy nước mắt, mà bạn lại là người nghiện thuốc lá, thì có thể đây là dấu hiệu của thuốc lá đã ảnh hưởng đến mắt của bạn. Hút thuốc dẫn đến nguy cơ mắc bệnh đục thủy tinh thể - một loại bệnh thường xuất hiện ở những người lớn tuổi, nguyên nhân là do thuốc lá có các tác nhân gây ôxy hóa trên thủy tinh thể. Người nghiện thuốc có nguy cơ cao mắc bệnh đục thủy tinh thể cao hơn người không hút thuốc 3 lần. Bên cạnh đó, chất lượng giấc ngủ của người thường xuyên hút thuốc cũng giảm, họ thường xuyên khó ngủ, ngủ ít hơn dẫn tới quầng thâm ở mắt.
Rối loạn chức năng tình dục
Một nghiên cứu mới đây của các nhà khoa học Mỹ chỉ rõ, nam giới hút thuốc có khả năng bị rối loạn chức năng cương dương nhiều hơn. Thêm vào đó, những người đàn ông hút thuốc cũng bị ung thư tinh hoàn cao hơn người khác. Trong khi đó, phụ nữ hút thuốc có khả năng bị ung thư cổ tử cung. Đây đều là các căn bệnh ảnh hưởng tới hoạt động tình dục của con người.
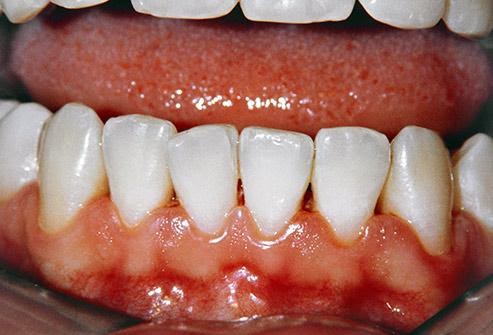
Ảnh hưởng tới nướu
Nicotin của khói thuốc khiến răng ngả màu vàng, gây chảy máu nướu răng, làm người bệnh nhai khó, hoặc gặp các vấn đề về hôi miệng. Nếu nghiện thuốc, dẫn tới mất canxi ở xương và răng, từ đó dẫn tới nguy cơ bị mất răng, thậm chí rụng răng sớm.
Bệnh về não
Nếu bạn hút thuốc, bạn có nguy cơ mắc đột quỵ cao gấp 3 lần so với người khác. Thuốc lá làm chai cứng mô, gây xơ vữa động mạch, từ đó hình thành cục máu đông trong não. Khi dòng máu đưa ôxy lên não đột ngột bị gián đoạn sẽ gây đột quỵ, có thể gây liệt mặt, mờ mắt, đi bộ khó khăn, và thậm chí tử vong. Nếu bệnh nhân có thêm bệnh huyết áp cao, có thể dẫn đến chứng phình động mạch não, hoặc xuất huyết não.
Hệ tiêu hóa
Một số bệnh đường tiêu hóa có liên quan đến thuốc lá như loét dạ dày tá tràng, bệnh Crohn, polyp đại tràng, viêm tụy, ung thư tuyến tụy .... Khi hút thuốc, người hút thường bị kích thích thần kinh làm không còn cảm giác đói, dẫn đến việc ăn uống không điều độ, dễ mắc các bệnh đường tiêu hóa, đây cũng là nguyên nhân người hút thuốc thường gầy hơn người khác. Năm 2009, nghiên cứu của các nhà khoa học Hà Lan còn khẳng định, người hút thuốc tăng 35% nguy cơ mắc bệnh tiểu đường loại 2.
Bệnh về phổi
Theo số liệu của Viện nghiên cứu ung thư Mỹ, 90% các ca ung thư phổi có liên quan đến hút thuốc lá, là nguyên nhân của hơn 150.000 ca tử vong ở Mỹ vào năm 2015. Ngoài ra thuốc lá còn là “thủ phạm” gây bệnh phổi tắc nghẽn mãn tính (COPD) và nhiều căn bệnh hô hấp khác.
Tim mạch
Hút thuốc lá là nguyên nhân chính gây ra các bệnh tim mạch - là nguyên nhân tử vong hàng đầu tại Mỹ. Một số bệnh tim mạch người hút thuốc có nguy cơ mắc phải như xơ vữa động mạch, bệnh mạch vành, đột quỵ, rối loạn nhịp tim, nhồi máu cơ tim, phình động mạch... Trong đó bệnh mạch vành chiếm hơn một nửa trường hợp tử vong vì bệnh tim do hút thuốc. Các hóa chất độc hại trong khói thuốc hình thành mảng xơ vữa, làm động mạch yếu đi, tạo ra các chỗ phình thành mạch.... từ đó gây nhiều bệnh liên quan đến tim mạch như bệnh tăng huyết áp, phình động mạch, bệnh mạch vành...
(Nguồn: Sức khỏe đời sống)











