Phẫu thuật nội soi thành công u nang buồng trứng kích thước lớn
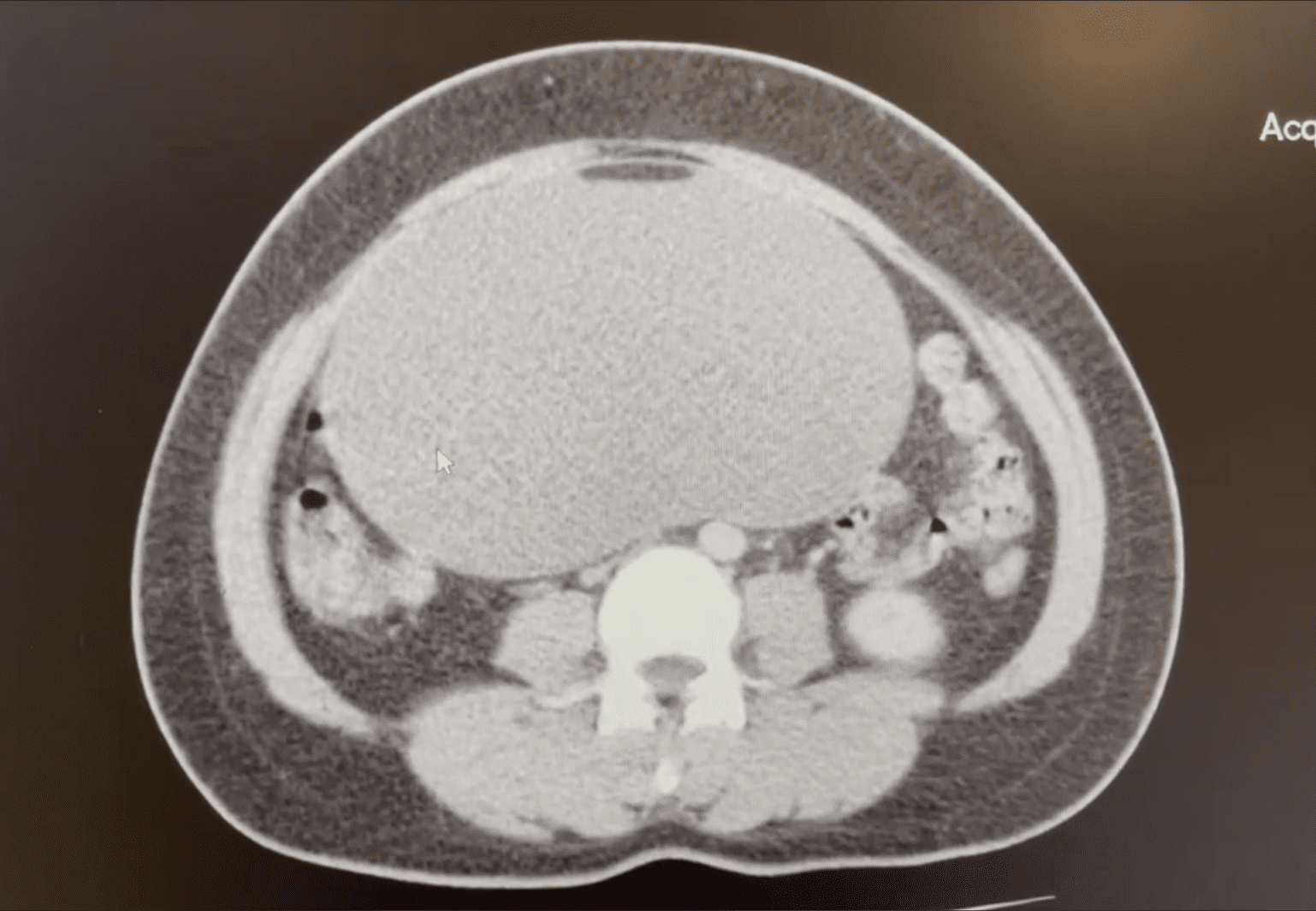
Bệnh nhân V.T.Tr, 34 tuổi (Bình Ngọc – Móng Cái) vào viện trong tình trạng đau bụng âm ỉ vùng quang rốn và hạ vị. Qua thăm khám và siêu âm ổ bụng, chụp cắt lớp vi tính… phát hiện phía trên tử cung có khối lớn kích thước khoảng 20x22cm, tỷ trọng đồng nhất, bên trong có ít cấu trúc mỡ và vôi hóa, bác sĩ chẩn đoán: U nang buồng trứng kích thước lớn.
Vừa qua, bác sĩ Khoa Ngoại, Sản Trung tâm Y tế thành phố Móng Cái đã phẫu thuật thành công ca u nang buồng trứng với kích thước lớn bằng phương pháp nội soi.
Bệnh nhân V.T.Tr, 34 tuổi (Bình Ngọc – Móng Cái) vào viện trong tình trạng đau bụng âm ỉ vùng quang rốn và hạ vị. Qua thăm khám và siêu âm ổ bụng, chụp cắt lớp vi tính… phát hiện phía trên tử cung có khối lớn kích thước khoảng 20x22cm, tỷ trọng đồng nhất, bên trong có ít cấu trúc mỡ và vôi hóa, bác sĩ chẩn đoán: U nang buồng trứng kích thước lớn.

Khối u nang buồng trứng qua hình ảnh chụp cắt lớp vi tính
Đối với khối u kích thước lớn, thực hiện mổ nội soi sẽ gặp khó khăn, đòi hỏi bác sĩ có chuyên môn cao và có kinh nghiệm. Nhận thấy khối u vẫn có thể bóc tách bằng phương pháp mổ nội soi, các bác sĩ quyết định thực hiện phẫu thuật nội soi vì đem đến cho bệnh nhân nhiều ưu điểm hơn so với mổ mở: ít xâm lấn, vết mổ nhỏ, đảm bảo tính thẩm mĩ, bệnh nhân hồi phục nhanh hơn và giảm nguy cơ biến chứng sau mổ như nhiễm trùng, dính ruột.
Ca phẫu thuật diễn ra thành công, khối u đã được bóc tách hoàn toàn ra khỏi buồng trứng. Sau phẫu thuật, sức khỏe bệnh nhân ổn định, hồi phục tốt.

Bác sĩ Khoa Ngoại, Sản Trung tâm Y tế TP Móng Cái thực hiện ca phẫu thuật nội soi lấy khối u nang buồng trứng lích thước lớn
Hiện nay, Trung tâm Y tế thành phố Móng Cái với đội ngũ y bác sĩ, kỹ thuật viên trẻ, được đào tạo bài bản, kết hợp trang thiết bị chẩn đoán, phòng mổ hiện đại cùng với sự hỗ trợ trực tiếp của thầy thuốc nhân dân, Bác sĩ CKII Nguyễn Quốc Hùng, đã triển khai và từng bước làm chủ nhiều ca phẫu thuật nội soi trong điều trị: thoát vị bẹn ở trẻ em, cắt dạ dày bán phần, cắt tử cung toàn phần loại bỏ khối u, u xơ tử cung, u nang buồng trứng.... phương pháp mổ nội soi đã và đang mang lại nhiều hiệu quả cao trong điều trị.
Người dân có nhu cầu khám, chữa bệnh chất lượng cao tại Trung tâm y tế thành phố Móng Cái, hãy liên hệ với bộ phận chăm sóc khách hàng để được tư vấn, đăng ký, qua số điện thoại: 0886.358.911


