GẮP DỊ VẬT TIÊU HÓA CHO CHÁU BÉ 7 TUỔI TẠI TTYT TP MÓNG CÁI
GẮP DỊ VẬT TIÊU HÓA CHO CHÁU BÉ 7 TUỔI TẠI TTYT TP MÓNG CÁI
Ngày 25/10/2020, Trung tâm Y tế TP Móng Cái tiếp nhận cháu H.B.C.P (07 tuổi), thường trú tại phường Ka Long, thành phố Móng Cái, Quảng Ninh. Bệnh nhi nhập viện trong tình trạng đau vùng cổ, sau khi nuốt phải một đồng xu.
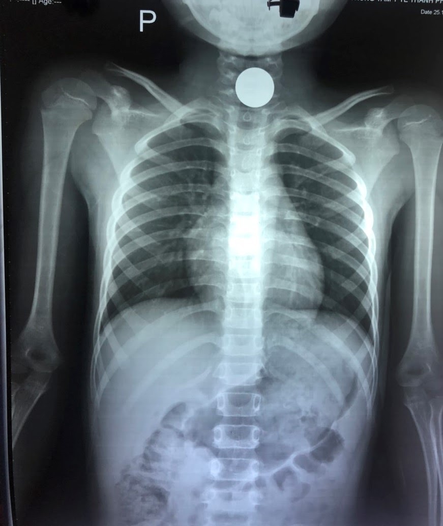
Theo lời kể gia đình, vào 12 giờ 30 phút cùng ngày bệnh nhi tự nuốt vật lạ là một đồng xu. Kết quả chụp X-quang cho thấy hình ảnh dị vật nằm ở vị trí thực quản vùng cổ.
Sau khi hội chẩn chuyên khoa với kíp nội soi, các bác sĩ chỉ định nội soi tiêu hóa cấp cứu gắp dị vật cho bệnh nhi. Kết quả nội soi ghi nhận dị vật là một đồng xu ở vị trí thực quản vùng cổ. Với tính chất tròn của dị vật, nếu không loại bỏ kịp thời có thể gây chèn ép đường thở, nguy hiểm đến tính mạng của người bệnh. Các bác sĩ đã tiến hành dùng kìm gắp dị vật để gắp đồng xu ra ngoài, sau đó soi kiểm tra lại tình trạng thực quản ổn định, không còn dị vật nào khác.
Thủ thuật được tiến hành an toàn và bệnh nhân đã tránh được một cuộc phẫu thuật. Kíp thủ thuật do bác sĩ Dương Thị Thu Hương, bác sĩ Đặng Văn Thanh, điều dưỡng Tạ Thị Huế, điều dưỡng PhạmThị Thanh Huyền tiến hành.
Qua trường hợp của bệnh nhi, bác sĩ khuyến cáo các bậc phụ huynh không nên cho trẻ chơi các loại đồ vật có kích thước nhỏ, dễ làm cho các trẻ tò mò rồi bỏ vào miệng ngậm, nuốt làm trẻ bị mắc dị vật gây ra hậu quả đáng tiếc.
TT Y tế TP.Móng Cái




