cấp cứu thành công bệnh nhân bị điện giật đuối nước
Hồi 15 giờ ngày 18/4/2018, Khoa Hồi sức cấp cứu - Trung tâm Y tế thành phố Móng Cái có tiếp nhận trường hợp người bệnh bị điện giật kèm theo đuối nước.
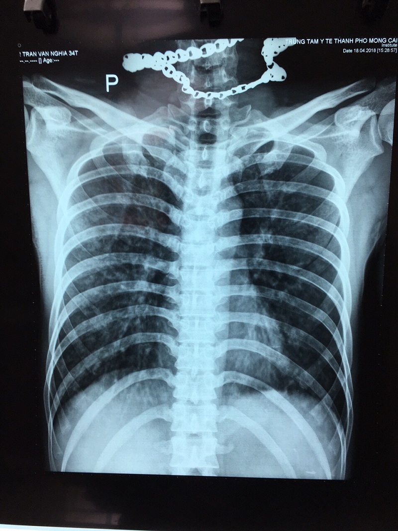
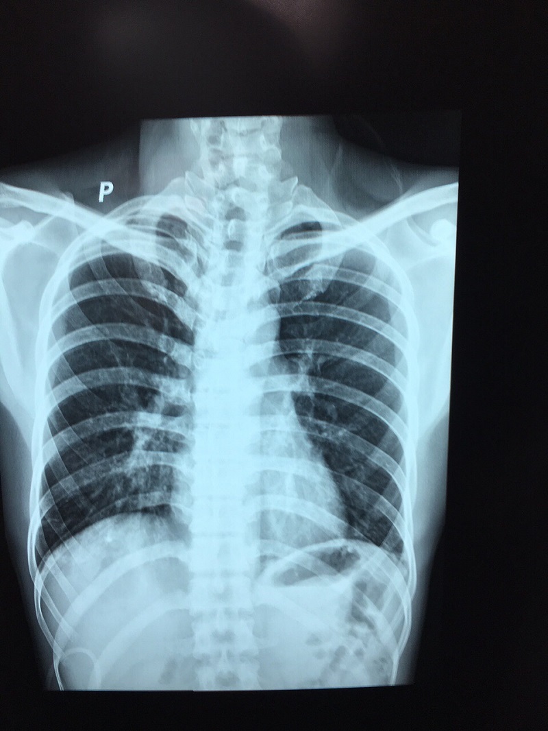
Theo người nhà đưa người bệnh đến kể, người bệnh đang sửa điện của máy sục bị điện giật ngã xuống hồ nuôi tôm, được người nhà vớt lên và đưa vào Trung tâm Y tế cấp cứu. Người bệnh vào khoa trong tình trạng vật vã kích thích, vã mồ hôi, chân tay lạnh, tím tái, khó thở nhiều, khạc ra bọt hồng, SpO2: 30 % huyết áp tụt Người bệnh được chẩn đoán: Phù phổi cấp – Bỏng điện
Đây là trường hợp rất nguy kịch. Các bác sĩ, điều dưỡng đã khẩn trương cấp cứu người bệnh kịp thời tiến hành thở máy CPAP, truyền dịch, dùng thuốc vận mạch … Với tinh thần khẩn trương, chuyên nghiệp sau xử trí người bệnh đã dần ổn định: tự thở được, đỡ khó thở, chân tay hồng hào dần lên, SpO2 dần trở lại bình thường
Sau 2 ngày điều trị người bệnh ổn định, đã tự đi lại, ăn uống bình thường.
Hình ảnh người bệnh:




